Przejdź do treści

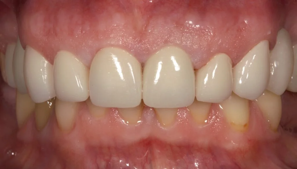
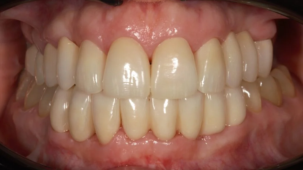
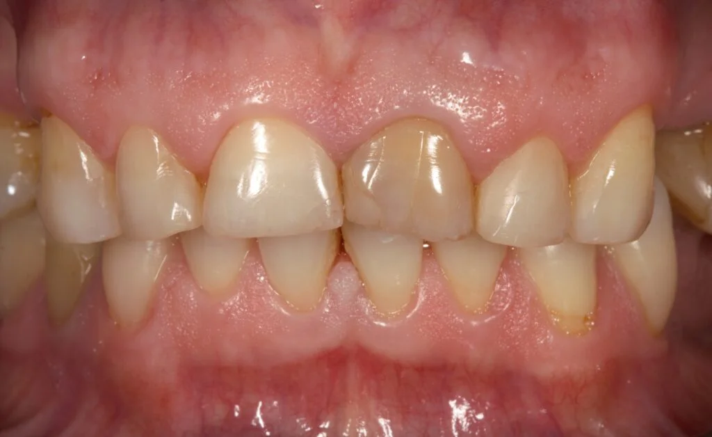
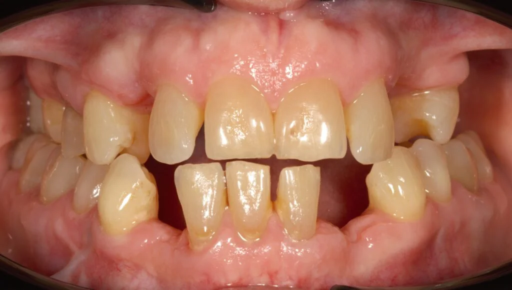
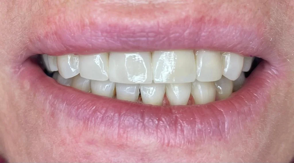
Zapraszamy do zapoznania się z naszą unikalną galerią metamorfoz, która prezentuje niezwykłe transformacje pacjentów dzięki naszym profesjonalnym zabiegom. Zachęcamy do przeglądania zdjęć przed i po, które są prawdziwym dowodem na skuteczność naszych usług.